
Der Weg zum A-Wurf
Startgewicht: 20,5 kg
Startbauchumfang: 49,5cm

Läufigkeit
Neve war mit ihrer Läufigkeit ausgesprochen pünktlich unterwegs. Nach 8 1/2 Monaten wurde sie am 13.04.2025 läufig.
22.04.: Am 10 Tag der Läufigkeit machten wir den ersten Progesterontest, dieser wies einen Wer von 4,3 ng/ml auf. Dies hieß es ist noch nicht soweit, so mussten wir den Test nochmal wiederholen.
23.04: Da am 11 Tag der Läufigkeit Morton signalisierte, dass sie in den Stehtagen ist und Neve selber mit Morton flirtete, hab ich auch an diesem Tag nochmal den Test wiederholt. Diesmal war der Wer bei 5,3 ng/ml. So wurd wahrscheinlich, dass der nächste Tag der richtige wäre. Hier hatten wir bereits einen Termin für 8.30 Uhr ausgemacht, damit wir danach losfahren könnten.
24.04: Am 12 Tag der Läufigkeit hatten sie beim Test einen Wert über 8 ng/mol, dies bedeutete, dass der Eisprung bereits war und wir losfahren konnten. Gesagt getan…schnell alle Sachen zusammengetragen und ab ins Auto und auf die Autobahn. Wir hatten schließlich 5.30 h und ca. 570 km vor uns…
Mit dem Auto kamen wir gut durch, so dass wir schon nach 5 Stunden ankamen. Um 15 Uhr trafen wir uns das erste Mal mit Monti (Neves Auserwähltem). Sie verstanden sich gut, Monti hätte auch schon gewollt, aber für Neve war es wohl noch ein Tag zu früh. So verabredeten wir uns für den nächsten Tag für einen erneuten Versuch.
25.04: Tag 13 der Läufigkeit und der Tag der Tage…Um 14 Uhr trafen wir uns erneut mit Monti und diesmal war der Besuch von Erfolg gekrönt. Danach hieß es zurück auf die Autobahn und wieder ab in den Schwarzwald. Auf der Rückfahrt haben wir bei einer Stauumfahrung tatsächlich ein Storchpärchen gesehen..ob das ein Zeichen war?
Erste Trächtigkeitswoche
26.04.2025:
Startgewicht: 20,5 kg
Startbauchumfang: 49,5 cm
Körperlich merkte man keinen Unterschied, die Welpen fangen auch erst ab der 5.ten Woche so richtig mit dem Wachstum an, somit ist vorher körperlich auch nicht wirklich etwas zu erkennen.
Neve war vom Verhalten ruhiger und anhänglicher. Sie legte sich mitten auf dem Spaziergang ins kühle Gras und auch mitten auf die Straße, als wir etwas länger mit Nachbarn ins Gespräch kamen (normalerweise wartet sie lieber im Stehen). Da holte sie sich direkt Bauchkraulis ab. Jedoch lassen diese Anzeichen noch keine Einschätzung zu, da dies auch normale Anzeichen einer Scheinträchtigkeit sind. Erst der Ultraschall wird uns Aufschluss darüber geben. Der Termin wurde auch direkt gemacht (ca. nach der vierten Woche ist ein Termin möglich).
Ende der ersten Woche:
03.05.2025
Gewicht: 21 kg (+0,5kg)
Bauchumfang: 49,5 cm (=)
Zweite Trächtigkeitswoche
In der zweiten Woche merkte man nochmal mehr, wie sie ruhiger wurde und das Kuscheln mehr einforderte. Hunger war wie in der ersten Woche etwas mehr als normalerweise, sie snackte als zusätzliche Proteinquelle zwei Insekten, die ihren Weg kreuzten… 😀
Körperliche meinte ich, dass die Zitzen leicht größer geworden sind. Aber diese Größe war bei ihren anderen Scheinträchtigkeiten auch normal für sie.
Die Zunahme des Gewichts ließ auch noch keine Rückschlüsse ziehen, da Neve immer zwischen 20,5 und 21 kg schwankt, vielleicht auch je nach dem wann man wiegt, leicht unterschiedlich.
Ende der zweiten Woche:
10.05.2025:
Gewicht: 20,5 kg (-0,5kg)
Bauchumfang: 50 cm (+0,5cm)
Dritte Trächtigkeitswoche
Am Anfang der dritten Woche hatte Neve wieder etwas weniger auf der Waage aber etwas mehr Bauchumfang. Ob’s am Messen lag oder es doch ein Zeichen war…
Auf jeden Fall hatte ich am 11.05 das erste Mal das Gefühl, hmm vielleicht ist sie wirklich trächtig. Irgendwie wirkte sie anhänglicher, zurückhaltender beim Spielen, einfordernder beim Kuscheln…ob sie nächstes Jahr das erste Mal Muttertag feiern darf?
Die Aufregung bei uns Zweibeinern nahm auf jeden Fall zu, je näher der Ultraschalltermin rückte, desto aufgeregter waren wir….jedoch haben wir versucht entspannt zu bleiben, eingehendere Vorbereitungen erst treffen, wenn auch eine positive Bestätigung da ist.
Ende der dritten Woche:
17.05.2025
Gewicht: 21,3 kg (+0,8 kg)
Bauchumfang: 52 cm (+2,5 cm)
Vierte Trächtigkeitswoche
Zwischen Messung:
21.05.2025
Gewicht: 21,6 kg (+0,3 kg zum 17.05, insgesamt +1,1 kg)
Bauchumfang: 54 cm (+2cm zum 17.05, insgesamt 4,5cm)
Neves Appetit hat in der vierten Woche etwas nachgelassen, sie hat trotzdem noch normal gegessen, jedoch etwas zögerlicher. Dies kommt häufig in der vierten Woche vor, da hier auch eine „Morgendübelkeit“ auftreten kann, diese hatte Neve aber nicht. Zum Ende hin zeigte sie jedoch wieder ein leicht gesteigertes Hungergefühl.
Sie wollte viel kuscheln, vor allem lag sie gerne unter einer Decke. Ich meinte etwas vergrößerte Zitzen feststellen zu können und auch einen kleinen Ansatz von einem Bäuchlein.
Am 20.05. habe ich dann einen leicht milchig durchsichtigen Schleimtropfen erkennen können. Dies zeigte Neve ca. bis zum 22.05. Meist ein eindeutiges Zeichen, kann jedoch auch im einer Scheinträchtigkeit vorkommen, war mir aber zuvor nie aufgefallen.
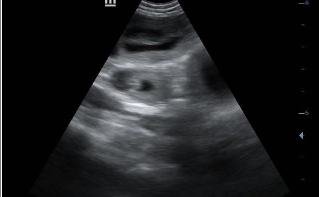
Die Aufregung vor dem Ultraschall wurde einfach immer größer und am 23.05 (28 Tag nach der Deckung) war es dann endlich soweit. In unsere Tierarzt Praxis hatten wir um 9.30 Uhr den lang ersehnten Termin.
Und tatsächlich konnten ca. 6 kleine Welpen gesehen werden! (+/-) da man beim Ultraschall nie sicher sein kann und es recht ungenau ist, die genaue Anzahl werden wir wohl dann erst bei Geburt herausfinden.

Ende der vierten Woche:
24.05.2025:
Gewicht: 21,7 kg (+1,2 kg)
Bauchumfang: 55,5 cm (+6cm)
Fünfte Trächtigkeitswoche
Zwischenmessung:
28.05.2025
Gewicht: 22,4 kg (+ 0,7 kg zum 24.05, insgesamt +1,9 kg)
Bauchumfang: 60 cm (+4,5 cm zum 24.05, insgesamt +10,5 cm)

Man merkt nun, dass das Wachstum der Kleinen so langsam los geht. Neves Hunger Gefühl ist seit dem dem 23.05. auch deutlich angestiegen. Sobald man etwas Essbares oder vermeintlich Essbares in der Hand hat, ist Neve nicht weit entfernt. Weiterhin ist sie anhänglich und kuschelt sich am liebsten bei einem unter die Decke.
Das Liegen als kleine Kugel funktioniert noch, sieht aber schon deutlich angestrengter aus. 😀
Beim Spaziergang merkt man am Ende, dass sie auch nicht viel länger möchte, sie nimmt sich jetzt immer mehr zurück.
Den Wurfraum haben wir schon etwas hergerichtet, dass in der letzten Phase nicht mehr zu viel umgestellt wird. So kann Neve sich schon mal an ihren Bereich gewöhnen. Den erhöhten Liegeplatz hat sie schon gerne angenommen, kuschelt aber momentan natürlich am liebsten noch im Körbchen mit Morton.
Ende der fünften Woche:
31.05.2025
Gewicht: 22,7 kg (+ 2,2 kg)
Bauchumfang: 60 cm (+ 10,5 cm)
Sechste Trächtigkeitswoche
Zwischen Messung:
04.06.2025
Gewicht: 23,5 kg (+ 0,8 kg zum 31.05, insgesamt + 3 kg)
Bauchumfang: 64 cm (+4 cm zum 31.05, insgesamt 14,5 cm)

Langsam merkt man ihr ihr Bäuchlein an, nicht mehr ganz so flink auf den Spaziergängen unterwegs. 🤭 Aber sie ist immer noch fit und absolut auf jegliches Essen am geiern….am Tag 41 nach Deckung hat schlagartig ihr Hungergefühl nochmal zugenommen…sie ist die ganze Zeit auf der Suche und am Betteln.🫠
Sie legt sich nun vermehrt seitlich hin, scheint für sie zunehmend angenehmer zu sein. Auch möchte sie nicht mehr so häufig unter die Decke, wird ihr schneller zu warm…(liegt aber wahrscheinlich auch an den gesteigerten Temperaturen)
Zudem hat ihr Haaren deutlich zugenommen. Es ist häufig so, dass Hündinnen vor allem im letzten Drittel der Trächtigkeit vermehrt haaren. Also wenn der Dalmi Glitzer vorher noch nicht überall war, jetzt ist er’s. 😂 Auch in die Welpenmappen hat er sich geschlichen. 🤷🏼♀️ Bleibt einfach nicht aus…diese habe ich nämlich nun auch vorbereitet.
Ende der sechsten Woche:
07.06.2025:
Gewicht: 24,2 kg (+3,7kg insgesamt)
Bauchumfang: 66 cm (16,5cm insgesamt)
Siebte Trächtigkeitswoche
Zwischen Messung:
11.06.2025
Gewicht: 24,8 kg (+ 0,6kg zum 07.06., insgesamt + 4,3kg)
Bauchumfang: 68,5 cm (+ 2,5 cm zum 07.06, insgesamt 19 cm)


Wenn Neve eins hat, dann ist es Hunger…sie bedient sich jetzt fleißig an den Erd- und Johannisbeeren im Garten, so dass für uns keine reifen Früchte mehr übrig bleiben 🤭 Neve bekommt jetzt schon öfter kleinere Portionen als Mahlzeiten, aber steht danach genau so bettelnd vor der Küchentür wie vorher….
Am Tag 45 haben wir tatsächlich den ersten Tritt beobachten können…das war ein richtig magischer Moment.
Die Spannung steigt langsam bei uns Zweibeiner, denn es sind jetzt ca. noch 2 Wochen bis zum ausgerechneten Geburtstermin.
Was wir auch bemerkt haben, Neve träumt seit dieser Woche intensiver. Normalerweise träumt sie nur selten laut, aber jetzt fast täglich. Man hat das Gefühl, sie schläft einfach intensiver…sie darf auch gerne Kräfte und Schlaf sammeln, bevor das Abenteuer so richtig los geht.🩷
Ende der siebten Woche:
14.06.2025
Gewicht: 25,2 kg (insgesamt + 4,8 kg)
Bauchumfang: 70,5cm (insgesamt + 21 cm)
Achte Trächtigkeitswoche
Zwischen Messung:
18.06.2025
Gewicht: 26,1 kg (+ 0,9 kg zum 14.06, insgesamt + 5,6 kg)
Bauchumfang: 73,5 cm (+3 cm zum 14.06, insgesamt 22 cm)

Die Bewegungen in Neves Bäuchlein sind nun immer deutlicher zuspüren und sichtbar. Manchmal wenn ein Welpe besonders doll tritt schaut sie auf und wedelt mit ihrer Rute 🥹🩷
Sie ist noch fit unterwegs, macht aber jetzt jedes Mal eine kurze Pause, um sich auf dem Feld zu schrubbeln. 🥰
Hunger ist nach wie vor riesig und das im letzten Drittel stärkere Wachstum der Kleinen zeigt sich auch deutlich am immer größer werdenden Bäuchlein.
Am Bauch sind Neves Haare deutlich weniger geworden und ihre Zitzen bereiten sich stark auf den Milcheinschuss vor. Sie sind nun deutlicher hervorgetreten und nehmen zu.
Zudem haben wir seit Tag 53 bemerkt, dass Neve anfängt in ihren Körbchen zu buddeln und draußen im Garten die Hecken nach geeigneten Höhlen absucht. So langsam will sie sich wohl vorbereiten.
Ende der achten Woche:
21.06.2025:
Gewicht: 26,8 kg (insgesamt + 6,3 kg)
Bauchumfang: 75,5 cm (insgesamt + 26 cm)
Neunte Trächtigkeitswoche
Zwischen Messung:
24.06.2025- Tag 60
Gewicht: 27,5 kg (insgesamt + 7 kg)
Bauchumfang: 79,5cm (insgesamt + 30 cm)

Neve hat seit Anfang der neunten Woche schon bereits Milch und die Welpen sind wirklich besonders aktiv in ihrem Bäuchlein unterwegs.
Seit dem Tag 59 (23.06.) ist sie etwas unruhiger was ihre Liegeposition angeht und wechselt häufiger mal ihre Seite auf der sie liegt.
An Tag 60 fing Neve an in ihrer Wurfbox ab und zu zu buddeln und Abends hechelte sie vermehrt. Die Nacht war jedoch noch ruhig.
Tag 61: Neve wollte ihr Frühstück nur in der Wurfbox essen und buddelte im Garten draußen weiter an ihrer Wurfhöhle.
Am Abend ging es dann los und um 22:44 kam der erste kleine Mann zur Welt🙊🩵 Danach ging es Schlag auf Schlaf und um halb drei waren dann bereits 10 Welpen auf der Welt🙏🏻 Die letzten zwei ließen sich noch Zeit und die zwölfte im Bunde kam um 8:23 Uhr auf die Welt.